- Added to Email Alerts
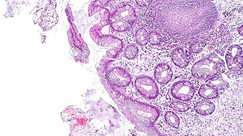
Barrett's Esophagus
Latest News View All
-
Does Anti-Reflux Surgery Cut Esophageal Cancer Risk? -
Frequency and Duration of GERD Associated With Poor Sleep -
Mutations May Predict Progression From Barrett's to Cancer -
Is There a Link Between Esophageal Risk and Sleep Habits? -
Endoscopists Outperform CADx in Predicting Polyp Histology -
DDW 2023ChatGPT in Medicine: The Good, the Bad, and the Unknown -
Does Exercise Help or Hinder GERD? -
High Burden, Unclear Benefit of Barrett’s Screening in US
Perspective View All
Journal Articles View All
-
Management of NAFLD in Primary Care Settings
-
Role of Ambulatory Reflux Monitoring in PPI Non-responders
-
Medical Malpractice and Gastrointestinal Endoscopy
-
Non-esophageal Eosinophilic GI Diseases Are Underdiagnosed
-
H. Pylori Infection, GERD, and Its Complications
-
Family History and Risk of Barrett's Esophagus