Newly Diagnosed ANCA-associated Vasculitis After COVID-19 Infection

A Case Report

Kazuhiro Kitamoto; Yasushi Tanaka; Tomohiko Kuboyama; Youhei Fujiki; Kodo Tomida; Takao Kamimori; Shigeo Hara

Disclosures

J Med Case Reports. 2023;17(366) 

In This Article

Abstract and Introduction

Abstract

Background: Antineutrophil cytoplasmic antibody (ANCA)-associated vasculitis is a systemic autoimmune disease characterized by mononuclear cell infiltration and small and medium-sized blood vessel destruction leading to renal failure. Severe acute respiratory syndrome coronavirus 2 (SARS-CoV-2) has been shown to have the potential to induce the presentation or exacerbation of autoimmune disease. This report describes the clinical features of a case of newly diagnosed ANCA-associated vasculitis after COVID-19 Infection.

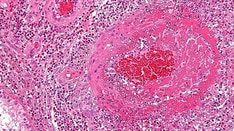
Case Presentation: During the COVID-19 pandemic, a 67- year-old female Japanese was undergoing treatment for interstitial pneumonia, diabetes mellitus, and hypertension at her local doctor. About 2 months ago, she was diagnosed with COVID-19 and went to a hotel for treatment, and her condition improved. But a month later, after her COVID-19 infection, she presented with a fever and cough and visited Yodogawa Christian Hospital in Osaka, Japan. The reverse transcription-polymerase chain reaction was negative. She underwent extensive radiological and laboratory investigations. Serologies revealed a high perinuclear-ANCA titer with a specific anti-myeloperoxidase antibody titer of 31.7 units/mL. We suspected ANCA-associated vasculitis and performed a renal biopsy. Renal biopsy showed evidence of crescentic glomerulonephritis, which was consistent with ANCA-associated vasculitis. The patient was referred to the Department of Rheumatology and Clinical Immunology for steroid pulse and cyclophosphamide treatment.

Conclusions: Delayed screening may lead to progression of the autoimmune disease, so prompt diagnosis is necessary. In this case, we could make an immediate diagnosis and refer the patient to the Department of Rheumatology and Clinical Immunology.

Introduction

Antineutrophil cytoplasmic antibody (ANCA)-associated vasculitis is a systemic autoimmune disease characterized by mononuclear cell infiltration and small and medium-sized blood vessel destruction leading to renal failure. Vasculitis is a descriptive term for a wide variety of conditions characterized by inflammation of the blood vessels that may occur as a primary process or secondary to an underlying disease. On the other hand, The novel coronavirus disease of 2019 (COVID-19) caused by severe acute respiratory syndrome coronavirus 2 (SARS-CoV-2) was first identified in Wuhan, Hubei, China, in December 2019 and resulted in a pandemic.[1] While systemic inflammation and pulmonary complication can result in significant morbidity and mortality, vasculitis may also occur.[2] This report describes the clinical features of newly diagnosed ANCA-associated vasculitis after COVID-19 Infection.

processing....