Please confirm that you would like to log out of Medscape.
If you log out, you will be required to enter your username and password the next time you visit.
Log outCancel
European Stroke Organisation Conference (ESOC) 2023
May 24 - 26, 2023; Munich, Germany
May 24 - 26, 2023Munich, Germany
ESOC 2023Intensive BP Reduction After Stroke Recanalization HarmfulIntensive blood pressure management worsens outcomes and should not be pursued in stroke patients successfully recanalized with intra-arterial thrombectomy, results of the OPTIMAL-BP trial show.
Medscape Medical News, May 31, 2023
ESOC 2023Cardiopathy No Basis for Choosing Anticoagulation in ESUSClinicians shouldn't expect apixaban to offer benefit over aspirin in patients with embolic stroke of undetermined source simply because they have atrial cardiopathy, ARCADIA investigators conclude.
Medscape Medical News, May 29, 2023
ESOC 2023No Added Benefit From Revascularization in Low-Risk CASOptimized medical therapy may be enough in patients with carotid artery stenosis who have a low to intermediate stroke risk, after the ESCT-2 trial showed no benefit from adding revascularization.
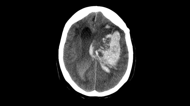
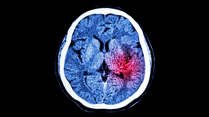
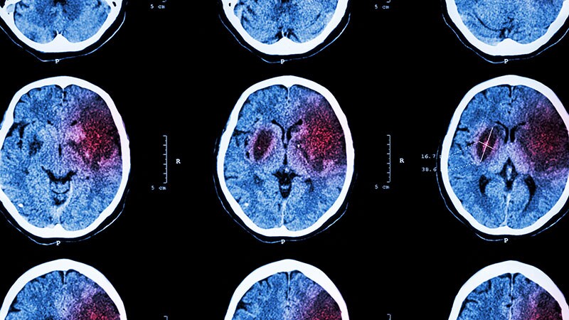
Taking ICH Cases Straight to Endovascular Center May Cause HarmRACECAT trial results suggest the longer travel times to the comprehensive stroke center -- rather than going to a closer
primary stroke center -- could be harmful for patients having a hemorrhagic stroke.